Iris Nevus – located around 4-o’clock off the pupil
Tick on Lower Lid – Pt. came in for cataract surgery and a tick was found on the lower lid. Pt. had no idea the tick was attached and did not know how long it had been there. Tick was photographed and then removed by physician
Tick on Lower Lid – Pt. came in for cataract surgery and a tick was found on the lower lid. Pt. had no idea the tick was attached and did not know how long it had been there. Tick was photographed and then removed by physician
Tick on Lower Lid – Pt. came in for cataract surgery and a tick was found on the lower lid. Pt. had no idea the tick was attached and did not know how long it had been there. Tick was photographed and then removed by physician
FFA of PDR with hemorrhage infero-temporal to Optic Nerve
Corneal Abrasion (Foreign Body was on upper tarsal plate now removed) – superiorly at 2 o’clock
Diffuse Rose Bengal Staining in a pt. with Sjogren’s Syndrome
Diffuse Rose Bengal Staining in a pt. with Sjogren’s Syndrome
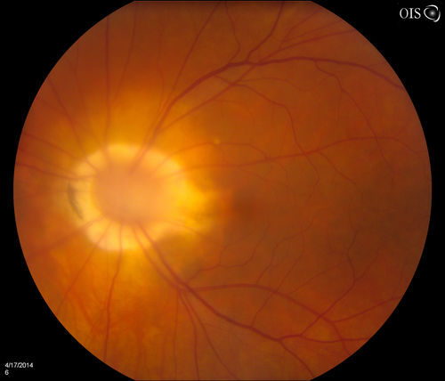
Morning Glory Optic Nerve
Morning Glory Optic Nerve
All
OPHTHALMOLOGY
ANIMAL KINGDOM
Dusted Pigment, Iris Nevus
(Closeup)
Dusted Pigment, Iris Nevus
Iris Nevus
Iris Nevus - located around 4-o'clock off the pupil
Tick on Lower Lid
Tick on Lower Lid - Pt. came in for cataract surgery and a tick was found on the lower lid. Pt. had no idea the tick was attached and did not know how long it had been there. Tick was photographed and then removed by physician
Tick on Lower Lid
Tick on Lower Lid - Pt. came in for cataract surgery and a tick was found on the lower lid. Pt. had no idea the tick was attached and did not know how long it had been there. Tick was photographed and then removed by physician
Tick on Lower Lid
Tick on Lower Lid - Pt. came in for cataract surgery and a tick was found on the lower lid. Pt. had no idea the tick was attached and did not know how long it had been there. Tick was photographed and then removed by physician